Blog - Page 2

Je n'ai jamais mal aux dents, faut-il aller chez le dentiste ?

Je n'ai jamais mal aux dents, faut-il aller chez le dentiste ?

Oui ! Ne serait-ce que pour garder le plus longtemps possible ce bon état dentaire.

Comblement de sinus par voie latérale (sinus lift) avec implantation différée

Comblement de sinus par voie latérale (sinus lift) avec implantation différée

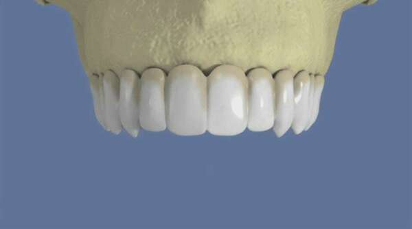
Maxillaire : bridge vissé sans fausse gencive

Maxillaire : bridge vissé sans fausse gencive

Fixation d’une prothèse par une barre sur 4 implants

Fixation d’une prothèse par une barre sur 4 implants

Traitement d'une carie par inlay/onlay

Traitement d'une carie par inlay/onlay

Facettes

Facettes

Impact du brossage agressif sur l’usure des dents

Impact du brossage agressif sur l’usure des dents

Implant et régénération osseuse

Implant et régénération osseuse

Le traitement chirurgical de la parodontite

Le traitement chirurgical de la parodontite

Pose d'un implant simple

Pose d'un implant simple

La technique de la greffe de gencive

La technique de la greffe de gencive

Bridge transvissé 4 dents

Bridge transvissé 4 dents

Affichage des articles 13-24 sur 158

Création par Webdentiste

Connexion