Accueil
Le cabinet
présentation du cabinet
L'équipe
Le cabinet en images
Accès
Urgences
Fiches Conseils
Vidéos
Contactez nous
Questionnaire pré-RDV
Appeler
Localisation
Cabinet dentaire du Dr GRINNER
Chirurgien-Dentiste
Cabinet dentaire du Dr GRINNER
Chirurgien-Dentiste
Accueil
Le cabinet
présentation du cabinet
L'équipe
Le cabinet en images
Accès
Urgences
Fiches Conseils
Vidéos
Contactez nous
Questionnaire pré-RDV
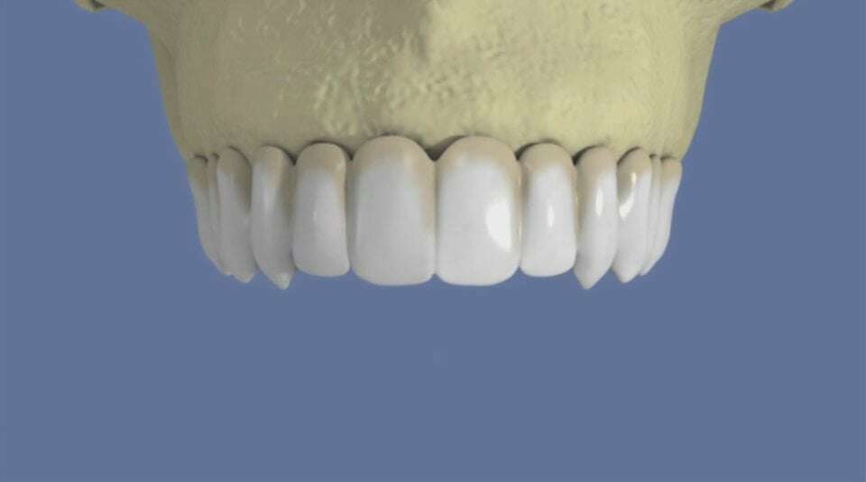
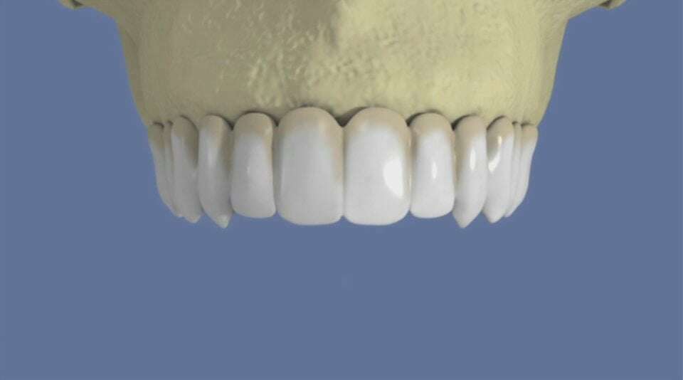
Maxillaire : bridge vissé sans fausse gencive
Vidéos 3D
Partager
Twitter
Partager
Partager
Envoyer
Copier
Informations pratiques
L'équipement du cabinet dentaire
L'orthodontie
Les choix esthétiques
Les dents chez l'adulte
Les dents de l’enfance à l’adolescence
Les dents et la santé
Les gencives
Les implants
Les pathologies bucco-dentaires
Les prothèses
Omnipratique
Prendre soin des dents
Cabinet dentaire du Dr GRINNER
2 rue du Vieux Marché
67150
ERSTEIN
+33 3 88 98 05 56
Politique de confidentialité et charte cookie
Mentions légales
Conditions Générales Utilisation
Charte déontologique
Ordre national
Annuaires chirurgiens dentistes
Hygiène & Asepsie
Honoraires & remboursement
Création par
Connexion